
色の調節自由自在。真っ白な歯も、自然な歯の色も、あなたの歯の色思いのまま。

- 治療する前に、治療後の歯の色味が確認できます。

- コンピュータで色認識するから色が正確に出せます。

- オールセラミック治療だから透明感のある美しい仕上がり。

- 日本歯科色彩学会理事の院長自身が歯科技工します。
治療前に、治療後のイメージを確認
歯をどれくらい白くしたいか。当たり前ですが、これは人により十人十色です。
「芸能人のように真っ白にしてほしい。」
という方もいれば、
「白くしたいけど、歯医者で治療したと気づかれない程度にしてほしい。」
「自然な歯の色にしてほしいが、自分に似合うのか?」
などなど、色々なご要望や不安があります。
一般的な色の確認方法としては、患者さんがカラーチップを参考にして希望の色を指定し、治療を開始するというやり方になるでしょう。しかし、チップ単体で見たときの色イメージと、実際に治療してから、鏡で顔を映したときのイメージは大きく異なることが多いのです。
「高いお金を払ったけど、希望通りにならなかった。 だけど、自分で色を指定したから仕方ない・・・。」 「思ったより白くなりすぎてしまって、これでは治療をしたことが分かってしまって恥ずかしい・・・。」
こんな失敗を防ぐために、中城歯科ではクリスタルアイを利用して、治療前に治療後のイメージを患者さんと一緒に確認をして、患者さんの相談をしっかり受け、不安を解消してから治療にあたりますので、いわゆる「失敗しない審美治療」ができるのです。
-

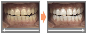
- クリスタルアイを使って、治療前に歯の色のイメージが視覚的に確認することができます。
歯の色を正確に算出
差し歯が変色してしまったので治療したい。歯が欠けてしまったので治療したい。このような場合、もともとの歯の色に合わせて歯型を作ることが必要になります。
一般的には、治療する歯の色をどのように決めているかというと、右図の「歯科用カラーチップ」を利用して、歯科医師がカラーチップと同じ色を探して近い色を指定します。
この方法は、医師によって色の判断に差がでるばかりでなく、患者さんによっては、カラーチップにない色がある場合があります。
中城歯科では、色を正確に出すことにこだわりを持っています。そのため、カラーチップは利用せず、クリスタルアイという歯科機器を利用して色をデジタルデータとして正確に取り出します。
そのデータを元に歯型を作るので、色が正確に出せるのです。

- 歯科用のカラーチップ。ほとんどの歯科が、このチップを使って目検で色を決めています。

- 中城歯科では、クリスタルアイを使って、歯の色をデジタルデータとして正確に算出します。
-
- クリスタルアイを使って、歯の色をデジタル化したデータです。
オールセラミック治療による色の恩恵
歯肉が痩せてもメタルラインはでません
審美治療の一つに、メタルボンドという治療方法があります。これは、歯を支える台(歯科用語で支台築造体)に金属を利用し、その上にセラミックを貼り付ける治療方法です。被せ物(クラウン)、差し歯などに利用されます。
現在でも、多くの患者さんが利用している治療ですが、この治療方法は、年齢とともに歯肉が痩せてきたとき、歯肉の中に隠れていた金属(メタルコアや冠内に焼き付けた金属)が露出し、黒いラインとなって表れる恐れがあることです。(歯科用語でブラックマージンといいます。)
実際、この治療をされて、黒いラインが露出し、治療にこられる患者さんも多いのです。
当院では、支台築造体にファイバーコアというグラスファイバー系の材料を利用し、被せ物(クラウン)は、金属を使用しないオールセラミックを利用しているので、歯肉が衰えても金属ラインが露出するようなことはありません。


-
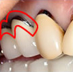
金属ライン露出(ブラックマージン)症例
歯の上方に、銀色のラインが見えるのがわかります。被せ物の内部に焼き付けた金属が露出しています。
セラミック本来の透明感のある発色
オールセラミック治療のメリットは、なんといっても歯に近い透明感のある白さを出すことができる点です。
メタルボンドでは金属を利用するため、透明感のあるセラミックが土台の金属の色を通して、若干黒ずんで見えてしまいます。せっかくのセラミックの色が生かされません。
オールセラミック治療では、金属を一切使用しないため、金属の色が反映されることがなく、美しい色で仕上がります。
日本歯科色彩学会 理事就任の院長自身による技工
一般的には、歯型を作る仕事「技工」は、技工所へ外注しますが、当院では院長自身が技工を行います。 その実績は、実に20年間で3000本。
技工を外注すると、綿密なコミュニケーションをとっていても、技工士との間にズレが生じて、何となくイメージと違う仕上がりになることも少なくはありません。微妙な色をあつかう場合ならなおさらのことです。
当院院長は「日本歯科色彩学会」の理事に就任しており、色に対してのこだわりがあります。また、患者さんと直接やり取りをした、院長自身が色のこだわりを持って技工するからこそ、希望通りの色を出すことができるのです。
自然光を利用した審美治療専用個室フィッティングルームで
審美治療の患者さん向けに、治療後mp仕上がりを確認いただく専用の個室フィッティングルームをご用意しています。 こちらのお部屋で、カウンセリング、カラーマッチングの相談をすることも可能です。
診療台の上で仕上がりを確認していただいても、緊張して納得がいかないままOKを出す患者さんが多いのではないかと考え、フィッティングルームをご用意いたしました。 これで、色々な表情をして仕上がりを誰の目も気にせず確認できます。
フィッティングルームで使用しているライトは、色彩学的な配慮により自然光照明を活用しております。



















































