
キレイ・安心・安い・高品質・早いを実現するヒミツ、クリスタルアイとセレックのご紹介をします。
クリスタルアイ
当院では、ペントロンジャパンの「クリスタルアイ」を使用しております。このクリスタルアイでは、歯の色をデジタルデータとして正確に検出したり、歯を白くするシミュレーションをすることができます。
一般的な歯型の作成方法として、歯科医師が「歯科用カラーチップ」を利用して色指定する方法がとられていますが、この方法は医師によって色の判断に差がでるばかりでなく、患者さんによっては、カラーチップにない色がある場合があります。
クリスタルアイでは色をデジタルデータとして正確に取り出しますので、色が正確に出せるのです。
また、治療前に治療後のイメージをシミュレーションをすることができるので、治療後のイメージ違いによるトラブルが起こりにくいのです。
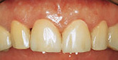
撮影時に外光を遮断し、標準補正された7band LED光源で測色する歯牙を撮影できるので、撮影環境に影響を受けず、正確に色の検出をすることができます。
![]()
撮影した画像は専用ソフト「クリスタルアイ アプリケーションマスター」でサービカル(歯頚部)、ボディ(中央部)、インサイザル(切縁部)別にベストマッチするシェード、そしてシェードガイドとの色差(⊿E)、明度(⊿L*)、赤味(⊿a*)、黄色味(⊿b*)を数値とわかりやすいグラフ表示で瞬時に表示します。
歯を白くした場合のシミュレーションを行うことができます。
画面下のバーをスライドさせた量だけ色を変えることができます。歯の部分のみ色が変わります。 ※上記はイメージです。
治療前、治療後の色の差を測定することができます。
- ・歯とシェードガイドとの色差情報の取得
- ・製作したクラウンと歯との色差情報の取得
- ・トリートメントした歯の術前・術後の色差情報の取得
- ・異なるシェードガイド同士の色差情報の取得
セレック3
当院では、セレック3という歯科機器を導入しています。 このセレック3では、院内での歯型の技工を一貫して行うことが可能です。
CERECは24年以上にわたり歯科修復における新たな次元の開拓を続けてきました。CERECが築いたCAD/CAM技術により、オールセラミックによる修復をチェアサイドでの1回の診療で装着することもできます。すでに多くの国々で発表されている100を超える臨床研究により、CERECの有用性は臨床面からも高く評価されています。現在、世界で4万人を越える歯科医がCERECを使用し、20秒に1つのCEREC修復物が製作され、装着されています。
※セレック公式サイトより引用
セレック3による製造工程で得られるメリットはたくさんあり、安くて早い、高品質でキレイな治療が可能になります。
セレック3による歯型の製造工程
術前の歯牙の状態を診査し、欠損の量、歯質削去量の目安、神経の位置関係、色調の把握、照合など、術前に説明と理解を行い、治療方針を進めていきます。
通法に従い、歯を削り終えたら、専用の光学カメラで、画像を取り込みます。 所要時間は、おおよそ5分程度で完了します。
コンピュータ上で立体的な造形にして、そこにピッタリ収まるセラミック構造体を設計します。ここまでの工程で、約10分です。ソフト上で、設計、変更、微調整を細かく設定できるので、常に同じ品質が保たれます。
大きさと色調が一番適合したセラミックのブロックを選択します。数多くの色が用意されています。
削りだしマシンにセラミックブロックを設置したら、後は、コンピュータの設計どおりに全自動で作成します。大体10分程度で仕上がります。医院内で、全ての工程が完了し、外部発注が無いので、即日仕上げも可能です。
最終的に、口腔内に装着して完了です。その適合性、色調の調和、自然な仕上がり、1本、80,000円で、セラミック審美治療の完成です。
- セレック3導入のメリット
- 従来の歯科治療と違い、お口の中の形態をコンピュータに取り込んで、専用の削り出しマシンが作成するので、品質が安定し精密に作れます。
歯科医師が歯科医院内で作成するので、技工所への外部発注がありません。そのためコスト削減により、安く作れて、作成が早く、1日診療も可能です。 - オールセラミック治療によるメリット
- 金属を使わない100%オールセラミックなので、経年劣化・腐食・金属溶出が無く身体に優しい。
金属の利用は、金属アレルギー体質・水銀過敏症など全身への影響が示唆されており、健康の維持増進、体質改善効果があります。
天然歯と同様の透明感・強度色調・質感を有するので、仕上がりがキレイです。 - セラミックブロックの削り出しによるメリット
- 歯の形・大きさ・場所にかかわらず、白いセラミック歯がワンプライスの80,000円で入れられます。



















































