
色の調節自由自在。真っ白な歯も、自然な歯の色も、あなたの歯の色思いのまま。
我々歯科医師は、失われた歯や歯周組織の機能を再建し、咀嚼機能の改善と、白い歯の美しさを再現する事で、「心身ともに健康的な生活を構築する」ことを目的としています。
そうなんです。
「医食同源」と「医色同源」の本質は、実は、同じなのですね。そして、この両方を具現化できるのは、歯科医師しかいません。
いつまでも長持ちして、自然な歯の色調を有し、アナタに最高の笑顔を創造し自分の歯と同じように美味しく食事ができる…
そんな、歯を一人でも多くの人にお届けしたい。これが私のミッションです。
ここでは、そんな「こだわりの白い歯」についての豆知識をご紹介しましょう。

-
医食同源
失われた咀嚼能力を改善し、如何に食事を美味しく、健康的な生活に導くか。

-
医色同源
失われた歯牙を再建し、如何に審美的に美しい笑顔に導くか。
この2つの問いかけに、お答えできるのは
歯科医師だけです。
光源による色の見え方の違い
右図の歯の色見本をご覧ください。それぞれ違う色に見えますね。
でも、実はどれも…全部同じ歯の色見本なのです。
では、何が違うのでしょう?
そうなんです。観察する光の種類が違うのです。
(左から、ハロゲンランプ、真中は、ストロボフラッシュ、右は、自然光太陽照明になります。)

- ハロゲン

- フラッシュ

- 人工太陽照明
最適な光源とは?
では、このようにさまざまの色に見えてしまう、色の「本当の色」は、どのように決めたら良いのでしょう?
「色彩学」では、光源の違いによって、どのようにでも見えてしまう物体の色に対して、一定の評価基準を設けています。 その為の正式な機関があり、「色彩の総本山」とも言うべき組織があります。国際照明委員会(CIE)という組織です。
国際照明委員会(CIE)の色彩評価法では、 「すべての波長成分を均等に含んでいる光源で観察すること」と、定義しています。
言葉の表現が難しいのですが、簡単に表せば、何のことはない「真っ白な光」で見る事なんですね。 「真っ白な光」なんて身近にないよ、と考えるかもしれませんが、実は身の回りのそこらじゅうにあります。
また、国際照明委員会(CIE)は、「色」というものを次のように定義しています。
「色彩の正しい評価法は、良く晴れた日の「北窓の昼光」で観察した時の色味をその物の色と定義する。」
簡単に言えば、晴れた日のお昼頃、北の窓から降り注ぐ太陽光に照らされた時に観察した色が、その物の色である。と言う訳です。何故、「北窓」かというと、一日を通して、最も安定した太陽光が得られるからです。
我が国においても、JIS規格はこれに準じており、JISZ:8105で定義されています。
最適な光源の選択

真っ白な光
国際照明委員会(CIE)が定義した、色彩評価方法に準拠した条件で観察することが肝要。
JISZ:8105定義
北窓の昼光で見る

いろいろな光源
しかしながら、私達が生活する照明設備には、なかなか、自然光照明に近い環境はありません。以下に、代表的な光源の波長を列記します。ヒトの目で見える可視領域の波長は、300Nm~780Nmの範囲とされています。その中で、低い波長が、7色の虹色のうち、紫外線領域の紫色に相当し、高い波長になるにつれて、赤外線領域の赤色に相当します。
- ハロゲン ウシオ電機 JVC100V-150WGS 白

- 蛍光灯 日立サンライン200型白色

- 赤外線ランプ 東芝 赤外線医療用電球 IRYO100/110V100WR

- 水銀灯 岩崎電気 セルフバラスト形 BHGF100/110V100W ガラス球:硬質ガラス

上記4種類の光源では、ある特定の波長に偏りがあったり(赤い色や紫色などがかぶりやすい)、特定の波長に輝線があり、観察する光源としてはあまり適切ではありません。
その中で、キセノンライトを用いた人工太陽照明灯は、広範囲のスペクトル波長を有し、輝線も少ないので、一番、北窓の昼光に近い環境が再現されます。
- 人工太陽照明灯 XC-100AF

- ※300Nm~780Nmの範囲で広範囲な波長を有し、輝線も少ない安定した光源であることが分かる。
審美治療において自然光を用いること
今一度、光源の違いによる、歯の色の見え方を見比べてみましょう。
やはり、一番右の、人工太陽照明灯で観察した歯の色が、歯の先端のクリスタルな透明感もよく再現され、一番自然に見えますね。

- ハロゲン

- フラッシュ

- 人工太陽照明
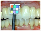
この、太陽光照明で歯の色を、色彩表現すると、右図に示すように、微妙な歯の色味の変化が、分かるようになります。
歯の画像の上に付与した、四角形の色票をご覧ください。一番白い歯(A1)から、最も黄色い歯(A4)まで、色票の9色の色が同じで揃っている事から、光源によるカブリはない事がわかります。

- A1

- A2

- A3

- A3.5

- A4
もし、アナタの、かかりつけの歯科医院が、職場の照明に、白熱灯や蛍光灯を採用しているとしたら…
完成した歯の色が、「黄色く」なったり、「青味がかって」出来上がってしまう可能性があります。
ここが、「なんか、イメージと違う」「こんな、はずじゃなかった」と言う、行き違いの原因になっている訳です。
別に歯医者さんの腕が、下手だった訳ではなく、観察する光源に原因があったのですね。
私は、歯科医師は、歯の色を白くきれいにする「審美治療」を進めていく上で、こうした自然光に近い光源を用いて仕事をすることは必須と考えています。
中城歯科では自然光を用いた個室フィッティングルームを設置
そこで、当院では、歯の色を合わせるための個室の「フィッティングルーム」に自然光照明を取り入れています。
芸能人御用達の、専用メイクアップ三面鏡で、いろいろな角度からジックリ検討してから、アナタにピッタリ合った歯の色をアドバイスしていきます。
中国(北京)で色彩学に関する基調講演をしました
最後に、手前味噌ではありますが、こうした、色彩への取り組みが評価され、2004年7月に北京中医薬科大学の梁栄教授と、同仁病院の王先生の招待により、歯科の色彩学に関する基調講演を中国の北京でしてきました。(学内に張り出された、学術報告のお知らせには、医学博士と書かれていますが、実際には、歯学博士です)
現在、私が考案した、自然光照明を用いた色彩装置を用いて、同仁病院で、基礎的な臨床検査が行われています。
























































